成年人正常的一个肾脏约为自己拳头大小,而近期丹江口市第一医院泌尿科却一连接诊两名巨大肾脏肿瘤患者,肿瘤与肾脏相粘连,形似半个足球。该院泌尿科成功为两名患者实施了肾脏及肿瘤切除术,手术过程中患者失血较少,目前两名患者生命体征平稳,已康复出院。
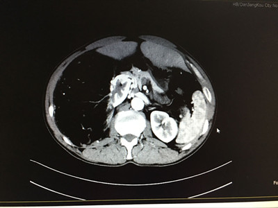
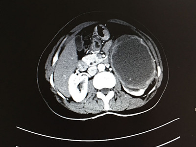
两位患者均为体检时发现后腹腔有一巨大占位,进行详细检查发现肿瘤。据患者介绍,平常并无特别明显症状。其中一名患者为右肾错构瘤,属血管平滑肌脂肪瘤,长25公分,宽16公分,厚13公分,与肝脏、肾动静脉和腔静脉粘连紧密,并将腔静脉挤弯变形、推向左侧。和右肾连在一起有半个足球大小。另一名患者为左肾透明细胞癌,直径21公分左右,囊实性占位病变,与胰腺粘连紧密,肾血管受挤压位置变异。
据悉,腹膜后肿瘤因早期症状不明显,往往被发现时体积已较大,并对周围脏器及大血管形成压迫或侵袭,手术切除难度及风险较大,需很高的术中游离技巧,在外科手术分级里属于四级手术。此次我院成功开展并实施巨大腹膜后肿瘤切除术,标志着该院泌尿科的外科技术水平朝三级医院的标准又迈进了一步。
据泌尿科专家介绍,肾脏肿瘤是泌尿系统较常见的肿瘤之一,约有30%-50%的肾癌缺乏早期临床表现,多在体检或其他疾病检查时发现。B超发现肾肿瘤的敏感性高,CT对肾脏肿瘤的确诊率高。根治性肾切除术是肾脏肿瘤最主要的治疗方法,早期发现、早期治疗可起到较好的效果。(泌尿科)


