聋哑男子膀胱内现体温计!10日上午,58岁的丹江口市牛河林区患者谭某在该市第一医院成功接受手术,泌尿科医生从男子膀胱内取出一支体度计。
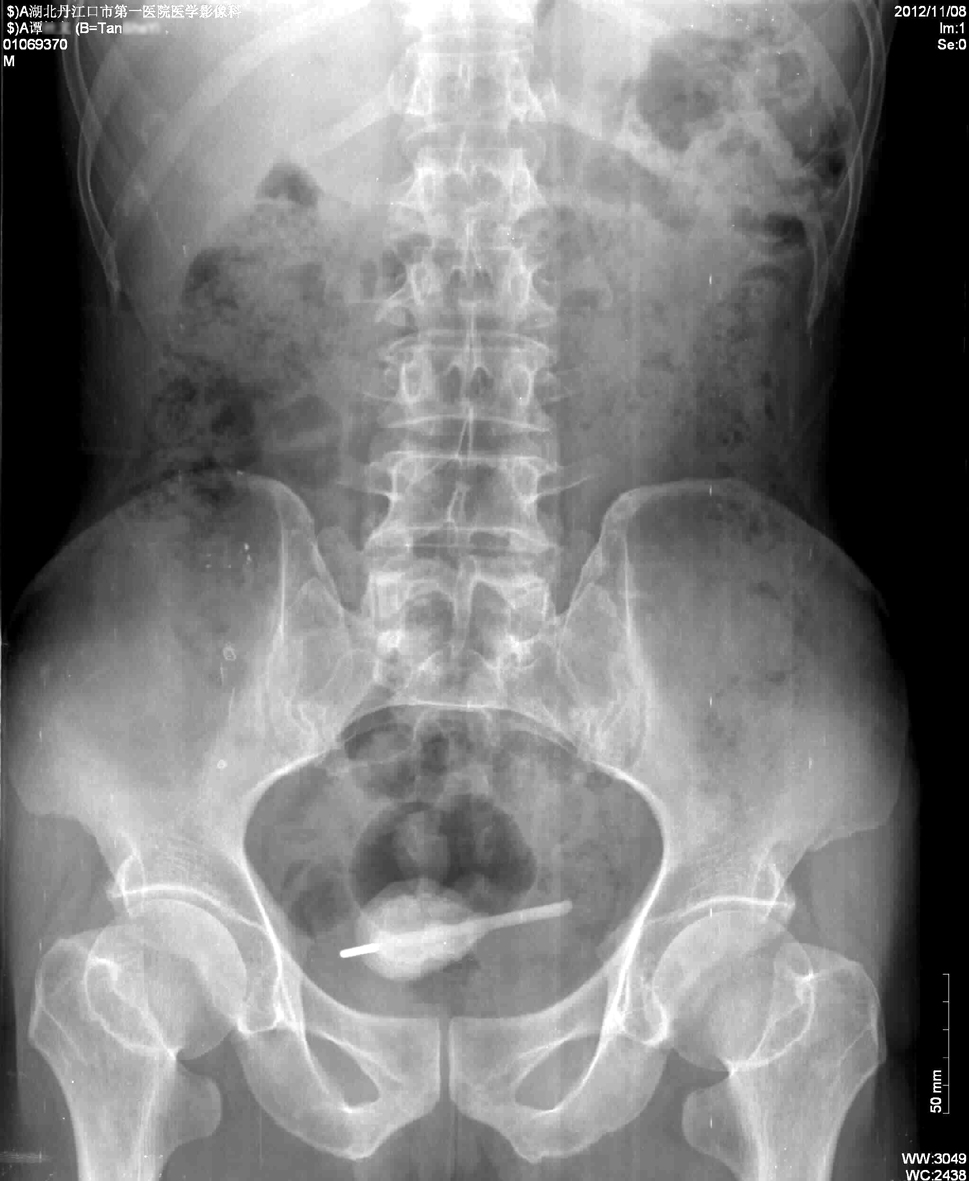
主治医师陈斌介绍:“男子一周前出现无明显诱因尿频、尿急、尿痛,伴发热,11月7日门诊以膀胱结石收入院,腹部拍片示膀胱异物,形似体温计(图一)。膀胱镜检查报告一长约6cm异物,外周结石包裹。”
10日上午,泌尿科医生通过手术,顺利从男子膀胱内取出体温计后,可见中下段包裹一枚鸡蛋般大小的膀胱结石(图二、图三)。该院主任医师、泌尿科主任张继来从结石大小判定,体温计在男子膀胱内停留时间较长,至少3年以上。至于长达6厘米长的体温计是如何从男子尿道滑入膀胱,由于患者是聋哑人,且至今未婚,尚不得而知。(谢厚波)

图一:手术取出体温计

图二:腹部拍片

图三:被结石包裹的体温计