欢迎访问丹江口市第一医院!今天是
设为首页 加入收藏 联系我们
当前位置: 首页 >> 新闻资讯 >> 临床动态 >> 正文
临床动态
急诊PCI心梗患者的福音

作者: 来源: 发布时间:2014-08-15 点击量:

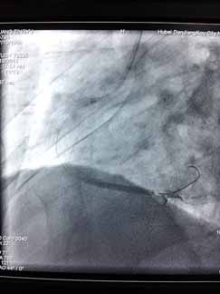
近日,烈日炎炎,急性心肌梗死高发,周六周日两天“120”急救车连续接诊两位急性心梗患者,到达我院后,心血管内科立即开通心梗绿色通道,最短时间内对两例病人实施急诊PCI,配合药物、抽吸导管及冠脉支架治疗,手术进行的非常顺利。门球时间均在60分钟内,堵塞血管立即开通,置入心脏支架,病人获得了最大收益,避免了急性心梗的高死亡率及不良后遗症。

医院风采
更多
  • 国医堂

  • 检验科

  • 手术室

  • 儿童雾化治疗室

  • 医美整形中心

医院荣誉
更多

地址:湖北省丹江口市沙陀营路32号 电话:0719-5223165 传真:0719-5223299 邮编:442700
丹江口市第一医院 版权所有 鄂ICP备17003703号 鄂公网安备 42038102000231号
Copyright © 2009-2010 DanJiangKou Hospital. All Rights Reserved